يُعدّ برد الأسنان أو ما يُعرف بـ نحت الأسنان من الإجراءات التجميلية الدقيقة التي تهدف إلى تحسين شكل الأسنان وتجهيزها لتركيب القشور الخزفية (الفينير) أو التيجان (التلبيسات). يعتمد هذا الإجراء على إزالة طبقة رقيقة جدًا من المينا من سطح السن، ما يسمح بالحصول على مظهر متناسق وطبيعي للابتسامة.
ومع التطور الكبير في مجال طب الأسنان التجميلي في تركيا، أصبح برد الاسنان أكثر أمانًا ودقة بفضل التقنيات الحديثة التي تقلل من فقدان طبقة المينا وتحافظ على بنية السن قدر الإمكان.
مراكز متخصصة مثل Turkey Care تقدّم حلولًا علاجية وتجميليّة متكاملة تجمع بين الكفاءة الطبية والتكلفة المناسبة، مما جعل تركيا وجهة مفضلة للراغبين في تحسين ابتسامتهم عبر هذا الإجراء ضمن باقات سياحية علاجية متكاملة.
فهرس المحتوى
ما هو برد الأسنان (نحت الأسنان)؟
يُعرف برد الأسنان بأنّه عملية تجميلية وعلاجية يتم فيها إزالة جزء دقيق جدًا من طبقة المينا الخارجية للأسنان باستخدام أدوات متطورة، بهدف إعادة تشكيل سطح السن وتحضيره لإجراءات لاحقة مثل تركيب القشور الخزفية (الفينير) أو التيجان. يتم هذا الإجراء تحت إشراف طبيب مختص وبأدوات دقيقة تضمن الحفاظ على أكبر قدر ممكن من المينا وتجنّب الإضرار بالسن.

الفرق بين البرد التجميلي والبرد العلاجي
- البرد التجميلي: يهدف إلى تحسين المظهر الجمالي للأسنان فقط، مثل تصحيح الطول أو الشكل أو تجهيزها للقشور التجميلية.
- البرد العلاجي: يُجرى عند وجود مشاكل في السن تتطلب تغطيته بالكامل، مثل التصدع أو التسوس العميق، حيث يُستخدم كخطوة أساسية قبل وضع التيجان أو الجسور لحماية السن وتقويته.
متى يُستخدم برد الاسنان؟
- قبل تركيب القشور الخزفية (الفينير): لتقليل بروز السن وتوفير مساحة مناسبة للقشرة بحيث تبدو طبيعية.
- قبل تركيب التيجان (التلبيسات): لتقليل حجم السن وتمكين التاج من تغطيته بشكل كامل دون أن يبدو بارزًا أو غير متناسق.
- لأغراض تجميلية بسيطة: مثل إعادة تشكيل سن طويل أو غير متساوٍ مع باقي الأسنان.
- في حالات الاعوجاج البسيط أو التزاحم: يمكن برد جزء صغير لتصحيح المحاذاة بدلاً من اللجوء إلى تقويم طويل الأمد


الحالات التي تحتاج إلى برد الأسنان
يُعد برد الأسنان إجراءً دقيقًا يُستخدم لتجهيز الأسنان لمختلف الأغراض التجميلية والعلاجية، ويختلف حجم البرد وطريقته وفقًا للحاجة. سنتعرف على أبرز الحالات التي تستدعي هذا الإجراء:
برد الأسنان قبل تركيب القشور الخزفية (الفينير)
قبل تركيب القشور الخزفية، يتم برد الاسنان لإزالة جزء رقيق من المينا، ما يتيح للقشرة الالتصاق بإحكام على سطح السن. هذه الخطوة ضرورية للحصول على ابتسامة طبيعية ومتناسقة، حيث تمنع القشرة من الارتفاع فوق مستوى الأسنان المجاورة وتحافظ على التناسق بين جميع الأسنان.
برد الاسنان قبل تركيب التيجان (التلبيسات)
عند الحاجة لتركيب تاج للأسنان، يُجرى البرد لتقليل حجم السن وتجهيزه لاستقبال التيجان دون زيادة الحجم الكلي للفم أو تشويه محيط الأسنان. هذا الإجراء لا يقتصر على الجمالية فقط، بل يساعد أيضًا على حماية السن من التلف أو الكسر، ويضمن ملاءمة التيجان بشكل مثالي على الأسنان المعالجة.

برد الأسنان لأغراض تجميلية بسيطة
يُستخدم برد الأسنان أحيانًا لإعادة تشكيل السن من حيث الطول أو الشكل، مثل تصحيح الأسنان الطويلة أو غير المتناسقة. يساعد هذا الإجراء في تحسين شكل الابتسامة بشكل واضح وسريع، دون الحاجة إلى إجراءات أكبر مثل التقويم أو الجراحة.
برد الاسنان لعلاج اعوجاج أو تزاحم بسيط
في حالات الاعوجاج البسيط أو التزاحم الخفيف، يُعد برد الاسنان حلاً سريعًا لتوفير مساحة إضافية داخل الفك. هذا الإجراء قد يكون بديلاً فعالًا لتقويم الأسنان التقليدي في بعض الحالات، مع تحقيق نتائج تجميلية فورية وملحوظة.
كيف يتم إجراء برد الاسنان؟
يُعتبر برد الاسنان إجراءً دقيقًا يتطلب تخطيطًا مسبقًا لضمان النتائج المثالية وتقليل أي مخاطر على الأسنان. ويشمل الإجراء عدة مراحل متتابعة، نوضحها فيما يلي:
التحضير والفحص الأولي
قبل البدء في برد الاسنان، يقوم طبيب الأسنان بإجراء فحص شامل للسن والفم. يشمل ذلك:
- الأشعة السينية: لتحديد سمك المينا وحالة العاج والجذور.
- الفحص السريري: للتأكد من عدم وجود تسوس أو أمراض لثة قد تؤثر على العملية.
- تقييم الشكل الجمالي: لتحديد كمية البرد المناسبة وفقًا لتناسق الأسنان والابتسامة المرغوبة.

خطوات عملية البرد
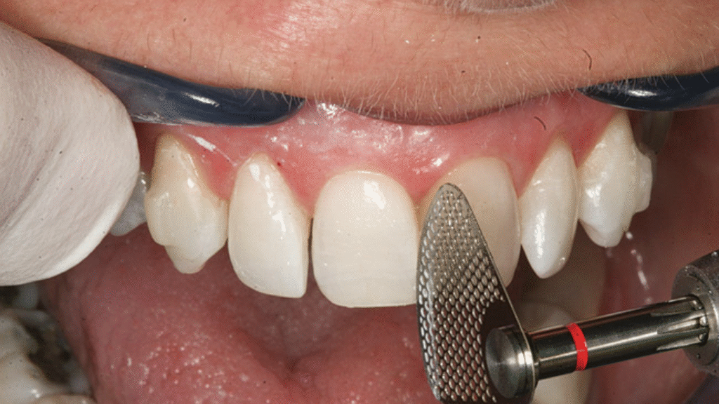
تتم عملية برد الأسنان باستخدام أدوات دقيقة عالية الجودة، حيث يقوم الطبيب بإزالة طبقة رقيقة جدًا من المينا لتشكيل سطح السن وتجهيزه لتركيب القشور الخزفية أو التيجان. يتم ضبط كمية البرد بدقة لتجنب الإضرار بالسن والحفاظ على بنية المينا الطبيعية قدر الإمكان.
التخدير الموضعي والألم المحتمل
يُجرى برد الأسنان عادةً تحت تخدير موضعي لتجنب أي ألم أثناء العملية. بعد الانتهاء من الإجراء، قد يشعر المريض بحساسية مؤقتة تجاه الحرارة أو البرد، لكنها غالبًا ما تختفي خلال أيام قليلة. يمكن استخدام معاجين خاصة لتخفيف الحساسية وتسريع التعافي.
المدة الزمنية لجلسة البرد
تختلف مدة جلسة برد الأسنان حسب عدد الأسنان وحجم الإجراء، لكنها عادة تتراوح بين 30 دقيقة إلى ساعة لكل سن. يمكن إنجاز عدة أسنان في جلسة واحدة إذا سمحت حالة المريض، مع مراعاة راحة المريض وسلامة الأسنان.
مميزات برد الأسنان
يعتبر برد الأسنان خطوة أساسية في العديد من إجراءات تجميل الأسنان، ويوفر عدة فوائد مهمة تشمل:
ابتسامة متناسقة وجذابة:
يساعد برد الأسنان على تعديل طول وشكل الأسنان، ما يمنح الابتسامة تناسقًا طبيعيًا ويبرز جمال الوجه.
أساس لتركيب القشور والتيجان:
يوفر السطح الناتج عن البرد التهيئة المثالية لتركيب القشور الخزفية أو التيجان، مما يضمن التصاقها بشكل آمن ودائم.
نتائج فورية وسريعة:
على عكس بعض الإجراءات الأخرى، تظهر نتائج برد الأسنان بشكل مباشر بعد تركيب القشور أو التيجان، ما يمنح المريض تحسنًا فوريًا في المظهر.

أضرار ومخاطر برد الأسنان
رغم الفوائد الجمالية، لا بد من مراعاة الجانب الطبي عند إجراء برد الأسنان، إذ يمكن أن تصاحب العملية بعض المخاطر إذا لم تتم بشكل صحيح:
ضعف المينا وزيادة الحساسية
إزالة طبقة من المينا قد تؤدي إلى زيادة حساسية الأسنان تجاه الحرارة والبرودة أو بعض الأطعمة الحامضية، لذلك يُنصح باستخدام معاجين خاصة لتخفيف الحساسية بعد العملية.
صعوبة العودة للشكل الطبيعي للسن
بمجرد برد الأسنان، يصبح من الصعب إعادة السن إلى حالته الطبيعية دون تركيب القشور أو التيجان، مما يجعل القرار بحاجة لدراسة دقيقة قبل الإجراء.
احتمالية الحاجة لعلاج الجذور لاحقًا في بعض الحالات
إذا تم برد كمية كبيرة أو كان السن ضعيفًا أصلاً، قد يحتاج المريض في المستقبل إلى علاج قناة الجذر (Root Canal) للحفاظ على السن، خصوصًا في الحالات التي تتعرض لإجهاد أو كسور.
⚠️ لذلك، من المهم دائمًا استشارة طبيب أسنان مختص والتأكد من خبرته قبل اتخاذ قرار برد الأسنان، لضمان نتائج آمنة وجمالية ممتازة.
البدائل المتاحة لبرد الأسنان
على الرغم من أن برد الأسنان من الإجراءات التجميلية الشائعة، إلا أن هناك بدائل متاحة لمن يرغب في تحسين ابتسامته مع تقليل إزالة المينا:
العدسات اللاصقة للأسنان (لومينير):
تعتبر خيارًا ممتازًا لمن يريد تحسين شكل الأسنان بدون برد كبير، حيث تُركب العدسات الرقيقة على سطح الأسنان مع الحفاظ على المينا الطبيعية قدر الإمكان.
تقويم الأسنان:
في حالات الاعوجاج أو التزاحم، يمكن استخدام تقويم الأسنان لتصحيح المحاذاة بدلاً من برد الأسنان، خاصة في المراهقين والشباب.
الحشوات التجميلية:
تستخدم لتعديل شكل السن أو طوله بشكل بسيط، مع الحفاظ على بنية الأسنان الطبيعية دون الحاجة لإزالة جزء من المينا.
نصائح قبل وبعد برد الأسنان
نصائح قبل العملية
- اختيار طبيب مختص: التأكد من خبرة الطبيب ومهاراته في إجراء برد الأسنان لتجنب أي مخاطر مستقبلية.
- فحص الأسنان جيدًا: يشمل الفحص السريري والأشعة لتحديد حالة المينا والعاج والتأكد من أن السن مناسب للإجراء.
- تحديد التوقعات: مناقشة النتائج المرجوة مع الطبيب لضمان توافق الشكل النهائي مع ابتسامة المريض.
العناية بعد العملية
- تجنب المأكولات الصلبة أو القاسية خلال الأيام الأولى لتقليل الضغط على الأسنان.
- العناية بنظافة الفم: استخدام فرشاة ناعمة ومعجون أسنان مخصص للأسنان الحساسة إذا لزم الأمر.
- المتابعة الدورية: زيارة الطبيب بعد أيام قليلة للتأكد من نجاح العملية وعدم حدوث أي مشاكل في الأسنان.
الخاتمة
يُعد برد الأسنان إجراءً تجميليًا فعالًا يمنح الأسنان شكلًا متناسقًا ويسهل تركيب القشور الخزفية أو التيجان، لكنه يحتاج دائمًا إلى اختيار طبيب مختص لضمان النتائج المثالية وتجنب أي مضاعفات محتملة. إذا كنت تبحث عن أفضل الحلول التجميلية للأسنان في تركيا، توفر لك Turkey Care خبراء متخصصين وتقنيات حديثة مع باقات علاجية متكاملة، لضمان ابتسامة صحية وجذابة بأعلى معايير الجودة.
📞 تواصل معنا الآن للحصول على استشارة شخصية مجانية وابدأ رحلتك نحو ابتسامة أحلامك!
اقرا ايضا اللومنير والفينير لتجميل الاسنان
ما هو برد الأسنان ولماذا يُجرى؟
برد الأسنان هو عملية إزالة جزء رقيق جدًا من المينا لتحضير الأسنان لتركيب القشور الخزفية (الفينير) أو التيجان. تهدف هذه العملية إلى تحسين شكل الأسنان وتناسق الابتسامة، تصحيح طول الأسنان أو شكلها، وتوفير أساس قوي لتثبيت القشور أو التيجان بشكل آمن وجمالي.
هل برد الأسنان مؤلم؟
يُجرى برد الأسنان تحت تخدير موضعي لتقليل الألم أثناء الإجراء، ومع ذلك قد يشعر المريض بحساسية مؤقتة تجاه الحرارة أو البرودة بعد العملية. غالبًا ما تختفي هذه الحساسية خلال أيام قليلة، ويمكن تسريع التعافي باستخدام معاجين الأسنان الخاصة بالأسنان الحساسة والمتابعة الدورية مع الطبيب.
ما الفرق بين البرد التجميلي والبرد العلاجي؟
البرد التجميلي يركز على تحسين المظهر العام للأسنان، مثل تصحيح الطول أو الشكل لتنسيق الابتسامة. بينما البرد العلاجي يُستخدم لحماية الأسنان الضعيفة أو المتضررة قبل تركيب التيجان أو القشور، ويضمن ثبات التغطية وتقليل مخاطر الكسر أو الضرر مستقبلاً، مع الحفاظ على الوظيفة الطبيعية للسن.
ما البدائل المتاحة لبرد الأسنان؟
تشمل البدائل اللومينير (عدسات الأسنان الرقيقة) التي تُركب دون برد كبير، أو الحشوات التجميلية لتعديل شكل السن، وكذلك تقويم الأسنان لتصحيح الاعوجاج أو التزاحم البسيط. هذه الخيارات توفر تحسين الابتسامة مع الحفاظ على أكبر قدر ممكن من المينا الطبيعية وتجنب إزالة جزء من السن.
لماذا يُفضل إجراء برد الأسنان في تركيا مع Turkey Care؟
تركيا تعتبر وجهة مميزة للسياحة العلاجية، حيث توفر مراكز مثل Turkey Care أطباء مختصين وتقنيات حديثة، إضافة إلى باقات متكاملة تشمل الاستقبال والإقامة والمتابعة بعد الإجراء. هذه العوامل تضمن نتائج جمالية دقيقة وآمنة، مع تكلفة مناسبة مقارنة بالدول الأخرى، وتحقيق الابتسامة المثالية.
